Съемное протезирование.
Протезирование зубов на данный момент подразделяют на две основные группы: съемное протезирование и несъемное протезирование.
Если проблему восполнения зубного ряда нельзя решить при помощи несъёмных конструкций, а имплантация не может быть использована (проблема общего состояния здоровья или финансовые затруднения), то врачи нашей Клиники предложат вам различные варианты съемного протезирования. На сегодняшний день накоплен огромный опыт при лечении съемными протезами, они имеют наибольшее число показаний и наименьшее число противопоказаний.
Для достижения максимального эффекта при съемном протезировании необходимо особенно тщательно выбрать конструкции протеза, вид замков и креплений. Наши врачи со всей ответственность подходят к решению данных задач, что в итоге позволяет пациенту быстрее привыкнуть к протезу и максимально избежать любого дискомфорта. Данный вид протезирования может применяться в любом возрасте и при различных клинических ситуациях. В молодом возрасте это чаще последствия травмы с целью временного закрытия дефекта, в среднем и пожилом возрасте восстановление целостности зубного ряда, лечение заболеваний пародонта,при патологии височно-нижнечелюстного сустава и прочее.
Изготовленный по индивидуальному плану лечения съемный зубной протез существенно влияет на улучшение качества жизни пациента, при этом учитываются эстетические аспекты и динамика жевательной функции. Зубной протез соответствует этим высоким требованиям тогда, когда наблюдается:
В современном представлении ортопедическая стоматология — это область клинической медицины, изучающая этиологию и патогенез болезней, аномалий, деформаций и повреждений зубов, челюстей и других органов полости рта и челюстно-лицевой области, разрабатывающая методы их диагностики, лечения и профилактики.
•
Восстановленная жевательная функция;
•
Прочная фиксация, легкий ввод и снятие;
•
Хорошая гигиена, простой уход;
•
Биологически совместимые материалы, проверенные и проявившие себя на протяжении многих лет;
•
Гарантия хорошей функциональности.
Хорошо изготовленный съемный протез дает другое качество жизни, молодую улыбку. Никто кроме вас и вашего стоматолога не узнает, что вы пользуетесь съемным протезом.
Ниже мы расскажем о некоторых видах съёмных протезов. Это обзорный материал, который позволит лучше ориентироваться. Более полную и индивидуальную информацию можно получить на бесплатной консультации в нашей Клинике. Одинаковых клинических ситуаций не бывает! Каждый случай требует составление подробного лечебного плана и строго соблюдения всех этапов диагностики, планирования, проведения клинических и лабораторных этапов, а также правильного ведения периода реабилитации и дальнейшего наблюдения.
1. Кламмерные бюгельные протезы.
Бюгельные протезы по праву считаются сегодня наиболее прогрессивными из всех видов частичных съемных конструкций.
Бюгельный протез на кламмерах является одним из распространенных типов съемного зубного протезирования. Кламмера изготавливаются из металла и представляют собой крючки, которые необходимы для фиксации конструкции в ротовой полости пациента. Они, кроме удерживающей функции, выполняют также — опорную.
Кламмера равномерно распределяют жевательную нагрузку между зубами и деснами. Крючки бюгельной конструкции обхватывают опорный зуб в области его шейки.
У этих протезов хорошая стабилизация, не требуется дополнительной обработки зубов, но эстетические проблемы, вызванные использованием кламмерной фиксации, не всегда удовлетворяют пациентов с повышенными косметическими требованиями.
2. Замковые бюгельные протезы.
Для удовлетворения новых эстетических запросов и улучшения фиксации съемного протеза была предложена замковая система фиксации, расположенная внутри съемного протеза. Крайние в зубном ряду зубы покрываются металлокерамическими коронками. При помощи литья, лазерной сварки, пайки и других новых технологий одна часть замкового крепления соединяется с коронкой, другая остается внутри протеза. Замковые системы очень разнообразны и выбираются только врачом, исходящим из каждой клинической ситуации. подвижные, сомнительно леченые зубы не могут служить как опора в таких протезах. Крепление скрыто внутри протеза, поэтому, в отличие от кламмеров, снаружи не видно, что во рту есть съёмный протез. Такие бюгельные протезы могут быть выполнены только техником, прошедшим специальное обучение, в подготовленной и оснащенной для этих целей лаборатории. Тщательная подготовка опорных зубов, слизистой протезного ложе, восстановление высоты прикуса и соответственно нижнего отдела лица, всё это является залогом успешного протезирования.
Протезы наиболее функциональные и эстетичны.
При протезировании данными конструкциями на верхней челюсти практически полностью открыто небо, а на нижней – тонкая дуга совершенно не мешает языку.
Способ передачи жевательной нагрузки ближе к физиологическому, по сравнению с пластиночными съёмными протезами.
Бюгельные протезы не сдавливают десну и не приводят к нарушению питания тканей.
Использование замковых креплений позволяет «спрятать» все фиксирующие элементы внутрь протеза, то есть данные крепления абсолютно незаметны.
Бюгельные конструкции обладают очень высокой надежностью.
Преимущества бюгельного протезирования:
3. Гибкие или нейлоновые протезы.
За счет своей гибкости, нейлоновые конструкции очень хорошо фиксируются, как бы «обхватывая» десны. Это позволяет не использовать в конструкции металлические «крючки», а на верхней челюсти очень сильно укоротить «искусственное небо» протеза. Так же отпадает необходимость укреплять нейлоновый протез с помощью коронок, которые устанавливаются на здоровые опорные зубы.
Нейлоновые протезы не вызывают аллергию.
Протезы успешно применяются как для замещения частичных дефектов (потеря нескольких зубов), так и для изготовления полных съёмных протезов.
Нейлоновые протезы более тонкие по сравнению с обычными частичными или полными съемными пластинчатыми протезами и занимают намного меньше места в полости рта, являясь, таким образом ,более комфортными.
4. Полные съемные пластинчатые протезы.
Полные съемные пластмассовые пластинчатые протезы являются зачастую единственной альтернативой протезирования при полном отсутствии зубов обеих или одной из челюстей. Изготавливают протезы из стоматологических акриловых пластмасс методом литьевого прессования, горячей и холодной полимеризацией. Протезы могут различаться по цвету, форме и размеру зубов.
Искусственные зубы, изготовленные по современным технологиям, обладают очень высокой износостойкостью и хорошими эстетическими качествами. При правильной эксплуатации и хорошей гигиене они очень долго не изменяют свой внешний вид, цвет, плотность и могут служить продолжительное время. Кроме того, вполне реально подобрать протез с учетом индивидуальных особенностей и пожеланий пациента.
Альтернативой полному съемному протезу может быть протезирование на имплантатах.
5. Частичные съемные пластинчатые протезы.
Частичные съемные протезы используются в случаях, когда утрачен один или несколько зубов.
Данный вид съемных протезов чаще предписывается при:
•
Потере основных жевательных зубов;
•
Наличии концевых дефектов зубного ряда, когда нет возможности использовать в качестве опоры мостовидного протеза соседние зубы, вследствие их отсутствия или расшатывания в кости челюсти;
•
Дефектах зубных рядов большой протяженности;
•
В качестве временного протеза.


Предназначаются для восстановления утраченных фрагментов зубного ряда и являются наиболее простой и доступной по цене съемной ортопедической конструкцией. Протезы данной конструкции опираются своим базисом на десневую поверхность и удерживаются во рту посредством кламмеров (металлических крючков) за крайние к дефекту опорные зубы. Опорные зубы при этом могут быть покрыты коронками или же находиться без таковых. Кламмера таких протезов обычно изготавливаются из пружинистой проволоки нержавеющей стали или благородного металла. Они обхватывают опорный зуб, надежно удерживая протез в полости рта во время приема пищи и при разговоре. Удерживающие кламмера протеза, располагаются у самого основания зуба и обычно прикрыты губой, поэтом практически незаметны окружающим. Необходимо отметить, что основным недостатком данного вида протезирования является то, что фиксация протеза происходит недостаточно жестко, что приводит к необходимости часто активировать кламмеры (подтягивать крючки).
В современных клиниках искусственные зубы в пластинчатых съёмных протезах изготавливаются не из пластмассы, а из керамики или композита. Вместо оклюдатора применяется артикулятор — сложный прибор, имитирующий движения височно-нижнечелюстного сустава. Тем не менее, этот протез все же рассматривают в качестве временного, и по истечении определенного срока его заменяют на более долговечный.
6. ACRI-FRI — протезы которые не ломаются.
ACRI-FRI – новейший материал для базисов съёмных протезов, высокой прочности. Базисы протезов, изготавливаются методом инжекционного прессования из акриловой смолы. Не содержат полиметилметакрилата и метилметакрилата.
•
Повышенные прочностные характеристики (не ломаются);
•
Возможность применения при любых дефектах зубного ряда;
•
Отличное воспроизведение рельефа ротовой полости;
•
Высокая гигиеничность за счет крайне низкого водопоглащения и не приживаемости микроорганизмов;
•
Точно прилегает, не деформируется;
7. Иммедиатпротезы.
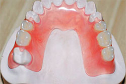
Иммедиат-протезы представляют собой временную конструкцию, которая накладывается на челюсть сразу поле удаления зубов или при подготовке к протезированию постоянным протезом. Задача иммедиат-протезирования не позволять зубам смещаться, удерживать их на месте. Протезирование этими съемными протезами недолговечно и использовать долго не рекомендуется.
На рисунке представлен вариант замещения дефекта центрального зуба при помощи иммедиат-протеза:
О возможных противопоказаниях необходимо проконсультироваться у специалиста.