стоматологическая клиника
МЕДИДЕНТ
8 (3473) 20 30 55
Мы работаем:
с 09:00 до 19:00
подробнее:




респ. Башкортостан
г. Стерлитамак
ул. Худайбердина 134
Стоматологическая клиника ООО "Медидент"
453121 республика Башкортостан г. Стерлитамак
ул. Худайбердина 134 тел: 8 (3473) 20 30 55

Звоните и записывайтесь на консультацию прямо сейчас, сохраните свои зубы здоровыми!
8 (3473) 20 30 55
Лечение пульпита.
Пульпит - это воспаление пульпы зуба (т.е. нервов, кровеносных и лимфатических сосудов, находящихся в полости зуба).
Каковы же симптомы заболевания? На начальных стадиях пульпита заболевание проявляется в виде болезненной реакции зубов на перепады температуры и другие раздражители. Острые приступообразные боли – признаки уже прогрессирующего пульпита. Иногда, даже трудно определить, какой конкретно зуб «барахлит», поскольку болевые ощущения могут распространяться на всю челюсть.

Пульсирующая сильная зубная боль, которая указывает на пульпит, у некоторых пациентов может вообще отсутствовать или иметь индивидуальный характер.
Определить пульпит также помогают и внешние симптомы: посеревшая эмаль, кровоточивость и разрастание тканей в открытой кариозной полости зуба. Именно поэтому для успешной диагностики имеет значение выяснение причин возникновения пульпита, определение периодичности и интенсивности болевых приступов.
Причины, вызывающие развитие пульпита могут быть самые разнообразные. Самая распространенная — это кариес. Длительно существующая кариозная полость, а также патологическая стираемость, вследствие отсутствия зубов неизбежно приводит к распространению патогенных микроорганизмов по дентинным канальцам вглубь тканей зуба, к пульповой камере. Травма зуба (например, при падении, ударе, погрешности в приеме пищи — надкусывание косточки, вилки и т.д.)  является не менее частой причиной развития пульпита.

Заболевания пародонта способны также привести к пульпиту. В этом случае воспаление пульпы зуба развивается не по классическому сценарию, т.е. не от коронки зуба — в полость, а наоборот, от корня зуба — через канал в полость зуба. Это так называемый ретроградный пульпит. Сразу стоит оговориться, что данный вид пульпита способен развиваться из любого хронического очага инфекции, располагающегося в соседних анатомических областях с зубом. Это далеко не полный перечень причин возникновения и развития пульпита.
Современные методы лечения пульпита стоматология разделяет на биологический и оперативный.
Биологический метод используется на начальных стадиях пульпита, при котором жизнеспособность пульпы сохраняется. Такая методика  применяется в основном у подростков при лечении пульпита постоянных зубов с несформированными корнями. При этом, удаляются все пораженные твердые зубные ткани и накладывается специальная лечебная прокладка, которая усиливает регенерацию тканей.  У взрослых пациентов такая методика практически не применяется, ввиду быстрого распространения инфекции внутри зуба и слабых регенеративных свойств пульпы.
Если же пульпит уже в запущенной стадии, в самом его разгаре, то
применяется самый надежный метод - оперативного лечения.

Для начала проводят двойное обезболивание современными анестетиками. Мы очень тщательно проводим этот важный этап лечения, поскольку только под полным обезболиванием врачу и пациенту будет комфортно, а значит будет достигнут максимально положительный результат. Поэтому
в нашей клинике применяется сначала аппликационная анестезия для обезболивания места вкола, а затем проводится инъекция стерильным шприцем с очень тонкой иглой (0,27 мм в диаметре) и препаратом немецкой компании Sanafi aventis (Германия)- Ультракаином, при котором вероятность наступления анестезии составляет 99,8%.
Далее, после того как доктор провел несколько тестов на отсутствие болевых ощущений, накладывают систему изоляции зуба с помощью латексного платка и приступают к лечению.
Сначала убирают все кариозные ткани с нависающими краями и остатки старых пломб стерильными борами, раскрывая полость зуба. Затем проводят анализ рентгеновского снимка пораженного зуба и обнаружение всех корневых каналов. Далее происходит полное безболезненное удаление воспаленной пульпы и начинается обработка корневых каналов с целью их расширения и очистки.
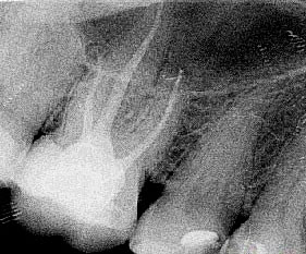
Примеры хорошо запломбированных каналов:
При лечении в одно посещение, зуб сразу восстанавливают пломбой. При лечении в два-три посещения полость зуба сначала закрывается временной пломбой, а в последнее посещение временную пломбу заменяют на постоянную.
Конечно, всегда лучше сделать профилактический осмотр и вылечить инфекцию на ранней стадии, чем затрачивать свое время и средства на лечение осложнений, которые могут закончиться удалением зуба.
О возможных противопоказаниях необходимо проконсультироваться у специалиста.